0830-5269120
0830-5211666
首页 >> 信息公开 >> 医院新闻
六年携手抗癌,侯主任关心的小佳佳长大了!
时间:2022-07-23 浏览次数:3866 来源:合江县人民医院
图片



今年6月,15岁的小佳佳参加了中考,以优异的成绩考取了自己心仪的学校,收到录取通知书的她第一时间向合江县人民医院外科一病区的侯叔叔汇报了自己的成绩。谁也不会相信,眼前这个亭亭玉立的大姑娘竟是个同恶性肿瘤整整抗争了6年时间的勇敢女孩。


图片


六年前,小佳佳的身体突然出现异常:她开始失去平衡无法正常走路,慢慢地开始无法正常说话。父母带小佳佳来到合江县人民医院神经外科检查后,被诊断出患有髓母细胞瘤


图片
图片


9岁的小佳佳马上接受了手术切除,手术比较顺利,切除了绝大部分肿瘤。


图片

侯黎明主任在手术中


手术后,小佳佳恢复良好,并进行了正规的放化疗治疗。

这6年里除了小佳佳亲人的陪伴还少不了神经外科主任侯黎明的关心。小佳佳按时挂侯主任的号检查身体,侯主任也时常通过微信和小佳佳爸爸沟通,随时了解孩子的情况。


图片


图片



生活一定会眷顾努力向上的人,祝愿我们的小佳佳学业进步,早日战胜病魔。



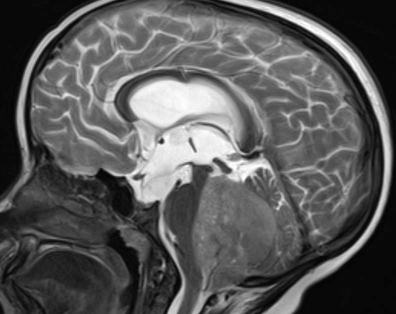
什么是髓母细胞瘤?


图片


发生于后颅窝的髓母细胞瘤,常见于16岁以下的儿童和青少年,是该年龄段最常见的颅内恶性肿瘤。


髓母细胞瘤能治好吗?



图片

事实上答案是非常积极的,通过现在的综合治疗手段,能使75%的患儿活到成年,影响日后好坏的因素,包括发病时患儿的年龄,是否有脊髓的播散,手术切除的程度,以及放化疗的反应等一系列因素。根据肿瘤组织类型的分型,髓母细胞瘤有的好,有的坏,最好的5年生存率能达到100%,而即使是最差的经典型,5年生存率也能达到70%−80%。


髓母细胞瘤的患者除了在医院接受正规的治疗之外,日常生活中也有很多注意事项:

1. 定期的随访与观察,在初诊断的1-2年内,要求每3个月到6个月进行一次磁共振的检查,包括全脑和全脊髓的磁共振检查,如果病情没有复发和进展,此后可以延长为每6个月到一年进行一次检查;

2. 需要监测内分泌的功能,因为髓母细胞瘤可能会影响儿童的正常生长发育,我们需要关注可能会出现的甲状腺功能减低,肾上腺功能不足,以及生长激素缺乏等问题;

3. 关注治疗副作用,由于中枢神经系统的特殊性,以及在发育期接受到的放化疗的损伤,往往有可能在10年甚至20年之后,表现出一些远期的副作用和不良反应,这是值得我们关注的;

4. 在日常生活中注意增强体质,保持适度的运动与锻炼,注意饮食的合理搭配,避免感染。



Baidu
map