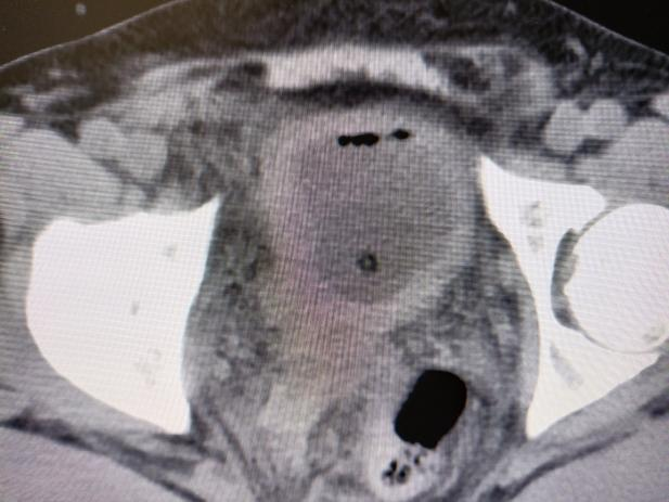
63岁的罗大叔自2年前出现尿频、尿急的情况,每天夜里至少起床排尿2-3次,罗大叔认为年纪大“前列腺增生”很正常,并未在意也没及时就医治疗。近段时间症状加重排尿困难并伴有尿痛、血尿,来到我院泌尿外科门诊找到齐正华主任,经详细问诊,安排其住院治疗,入院后完善CT提示:前列腺增生合并膀胱巨大憩室。
经泌尿外科团队讨论后,决定为患者施行腹腔镜下膀胱巨大憩室切除术,手术顺利。术后拔除尿管后,罗大叔排尿通畅、症状消失,非常满意。出院时罗大叔高兴的说:“我以为要开大刀,没想到几个小孔就解决了,你们的技术真的好!” 术前影像 术后影像 切下来的膀胱憩室 微创小孔 科普知识 什么是膀胱憩室?它有什么危害吗? 膀胱憩室主要是由于患者膀胱肌肉先天性的薄弱,或者是由于尿路梗阻导致的膀胱内压的升高,最终在膀胱壁表面形成了一个膀胱黏膜经膀胱壁肌层向外膨出的囊袋,就好像是多了一个膀胱一样。如果憩室较小,可无明显症状。但如果憩室较大,则会出现排尿困难、尿频、尿急、尿痛、血尿以及两段排尿等相关症状,严重时可出现严重的并发症。 并发症: 1.便秘-膀胱憩室压迫到了患者的直肠,从而导致患者出现便秘。 2.难产-巨大的膀胱憩室压迫到子宫,导致女性患者难产。 3.憩室感染、憩室结石-患者可出现尿频、尿急、尿痛等尿路感染的症状,严重者甚至并发憩室结石。 4.尿路梗阻-憩室增大可以压迫输尿管使之产生位移,从而出现梗阻。 5.肾功能不全或者肾衰竭-当患者的憩室增大导致出现尿路梗阻,如梗阻进一步发展,使得肾小囊内压力增高造成肾小球率过滤的降低,尿量减少,肌酐、尿素氮排出受阻,严重者可以出现肾功能不全或者肾功能衰竭。 6.尿潴留-膀胱憩室压迫膀胱出口,出现尿潴留。 7.癌变-膀胱憩室易合并有癌变,患者可表现为无痛性肉眼血尿。 合江县人民医院泌尿外科近年来大力发展腹腔镜技术,目前能开展的腹腔镜技术有:腹腔镜下肾癌根治术、腹腔镜肾盂癌根治术,腹腔镜无功能肾切除术,腹腔镜肾上腺肿瘤切除术,腹腔镜肾囊肿去顶减压术、腹腔镜前列腺癌根治术、腹腔镜膀胱全切术、腹腔镜精索静脉曲张高位结扎术,腹腔镜下输尿管切开取石术,腹腔镜输尿管狭窄切除吻合术,腹腔镜输尿管膀胱再植术等。 泌尿外科专科门诊:门诊综合楼二楼212诊室。 特需专家门诊:每周四上午,门诊综合楼一楼113诊室。 泌尿外科住院部:住院综合大楼五楼。 咨询电话:0830-5266595




