0830-5269120
0830-5211666
首页 >> 信息公开 >> 医院新闻
【人医学科】我院脊柱外科成功独立开展颈椎后纵韧带骨化伴椎管重度狭窄前路手术
时间:2024-06-21 浏览次数:940 来源:合江县人民医院

近日,我院脊柱外科为一名颈椎后纵韧带骨化(OPLL)伴椎管重度狭窄颈椎病患者成功实施了经前路颈5、6椎体次全切、后纵韧带骨化骨切除、椎管减压、钛网支撑植骨、前路钢板内固定术。

图片

该手术为脊柱外科领域高难度、高风险手术,被誉为“脊柱外科金字塔尖上的手术”之一。对医院的设备和医生的技术要求极高,全国范围内地市级医院开展的极少,只有部分教学医院和中心医院在开展此项手术,能做该手术的医生也极少。

我院率先在泸州四县三区独立安全开展该技术,填补了我县骨科脊柱专业领域的又一项技术空白,也展现了我院脊柱外科强大实力。


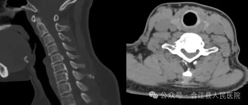
该患者,颈部、右上肢疼痛、麻木5年,院外长期保守治疗,效果欠佳,反复发作,病情逐渐加重,2月前出现右上肢无力、双下肢踩棉花感,严重影响日常生活。

图片
术前


入院后完善颈椎X线片、CT、核磁共振、血生化等各项检查,诊断为颈椎后纵韧带骨化(OPLL)伴重度颈椎管狭窄、脊髓型+神经根混合型颈椎病。

张中发主任组织脊柱外科团队充分讨论评估,患者病情严重,如不积极采取有效治疗,轻微外伤或疾病进展可能导致截瘫,需要尽早手术治疗已达到脊髓充分减压。

经围术期管理团队的充分讨论评估,充分的术前沟通,患者及家属的同意接受手术,精心的术前准备,脊柱外科团队历时3小时,顺利完成手术。

图片

术后


术后第二天颈托外固定保护下下床活动,激动的说自己重新找到脚踏实地的感觉,露出了开心地笑容。经术后精心的护理,康复治疗,患者后期的生活自理能力恢复正常,生活质量逐步提高。


科普小课堂


颈椎后纵韧带骨化症是指因颈椎的后纵韧带发生骨化,从而压迫脊髓和神经根,产生肢体的感觉和运动障碍以及内脏植物神经功能紊乱的一种疾病。

1

临床症状

颈部症状

病变早期患者颈部可由无痛而逐渐出现轻度酸痛及不适,颈椎活动大多正常或有轻度受限,以头颈后伸受限为明显。当被动活动超出其正常活动范围时,可引起颈部疼痛或酸胀感。


神经症状

主要是脊髓压迫症状,其特点是不同程度、有间歇期、慢性进行性、痉挛性四肢瘫痪。一般先从下肢开始,逐渐出现上肢症状。少数病例亦可先出现上肢症状或四肢同时发病。

(1)上肢症状 

主要是一侧或双侧手部或臂部肌力减弱,并出现麻木、无力及手部活动灵活性减退,严重者不能拿笔持筷或捏取细小物品。患者握力大多减退,肌肉呈中度或轻度萎缩,尤以大、小鱼际为明显。

(2)下肢症状 

主要表现为双下肢无力,抬举困难,拖地而行或步态颤抖不稳,有踩棉花感。内收肌痉挛明显者行路呈剪式步态,同时可有双下肢麻木、无力、痉挛,严重者不能自行起坐及翻身,完全瘫于床上。下肢肌张力增高,腱反射亢进或活跃,髌阵挛阳性,病理反射多为阳性,可有深感觉及浅感觉减退。

(3)其他症状 

主要是尿道括约肌功能障碍,表现为排尿困难或小便失禁。排便功能亦多低下,每3~5天一次,常有便秘及腹胀。患者胸腹部可有束带感,并易于查出痛觉障碍,平面腹壁反射及提睾反射减弱或消失。

2

治疗

后纵韧带骨化症的治疗包括保守治疗和手术治疗。


1.非手术治疗

对于症状轻微,或症状明显,但经休息能得到缓解者,以及年龄较大有器质性疾病者,均可采用非手术疗法。常用的有持续头颅牵引、卧床休息、颈托固定、理疗和药物治疗等。


2.手术治疗

对颈椎后纵韧带骨化患者应首先采取保守治疗,若经过一段时间的保守疗法仍无效时考虑手术治疗。手术的主要目的为减压及稳定,大致分为前路及后路手术。前路手术的目的是直接切除后纵韧带骨化部位,达到直接减压的目的;后路手术通过扩大椎管容积,使得压迫解除,达到间接减压的目的。但前路、 后路手术均有较高的并发症发生率。

①前路手术适用于颈椎生理前凸丧失、合并后凸畸形的患者,这类患者间接减压的效果有限,通常行颈椎前路椎体次全切除术+后纵韧带骨化切除术;

②后路手术适用于颈椎生理前凸尚存的患者,这类患者在后方减压后脊髓能随扩大的椎管后移,主流术式包括颈椎后路椎板成形术以及颈椎后路椎板切除减压植骨融合内固定术。 






专家介绍




图片

张中发


骨科主任 

主任医师

擅长脊柱骨折及退变微创治疗,脊柱矫形,颈、胸、腰椎椎管狭窄前后路手术,在四县三区率先独立开展颈胸腰椎后纵韧带骨化、黄韧带骨化、上颈椎骨折及不稳融合、颈椎椎弓根螺钉固定等高难度高风险手术;在四县三区率先开展经皮椎弓根钉内固定术、椎间孔镜下椎间盘髓核摘除术、UBE、OLIF、MIS-TlIF、W-TLIF单侧入路双侧减压等微创技术;在脊柱感染、脊柱肿瘤的诊治方面有丰富的经验。




图片

罗亮


骨科(脊柱外科)医疗组长 

副主任医师

擅长颈肩、腰腿痛的诊治,脊柱骨折与退变性疾病的传统手术和微创治疗,老年骨质疏松胸腰椎压缩性骨折PVP/PKP、椎间孔镜(PLED)、脊柱微创通道减压、经皮椎弓根螺钉、腰椎侧方入路融合术(OLIF)、单侧入路双侧神经根减压、单侧双通道内镜(UBE)等技术。



图片

周强

医师

擅长脊柱颈胸腰骨折、椎间盘撕裂、椎体脱位以及脊髓损伤等脊柱创伤性疾病的保守及手术治疗,对脊柱退变,尤其是对颈椎病,腰椎盘突出,腰腿痛的诊治有丰富的经验。


脊柱外科咨询电话:0830-5211686

脊柱外科门诊:门诊综合楼2楼210诊室

脊柱外科住院部:门诊综合楼7楼



Baidu
map