0830-5269120
0830-5211666
首页 >> 信息公开 >> 医院新闻
【人医学科】神经外科介入栓塞术成功挽救颅内动脉瘤破裂患者生命
时间:2024-07-16 浏览次数:1116 来源:合江县人民医院
图片


颅内动脉瘤是颅内动脉血管由于先天异常或后天损伤导致的血管壁功能减退、弹性下降,在血压的作用下,逐渐形成的瘤样扩张及膨出,随时有破裂的风险,因此被称为“人体内不定时炸弹”。


图片


颅内动脉瘤一旦破裂形成脑出血,其致死率和致残率均相当高,为防止动脉瘤破裂,手术是唯一有效的方式。



一个多月前

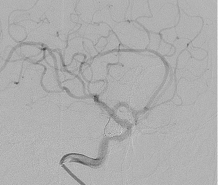
榕山镇70岁的胡婆婆因突发头颈部疼痛入住我院。急诊头颅CT显示广泛蛛网膜下腔出血,经验丰富的神经外科医生立即意识到是可怕的颅内动脉瘤破裂出血。经过脑血管造影检查证实,果然是右侧后交通动脉瘤破裂出血


图片
图片



情况更加复杂的是,动脉瘤体大、瘤颈宽、形态不规则,随时都有再次破裂出血的危险。胡婆婆年龄较大,身体瘦弱,基础条件差,开颅手术耐受能力极差。在充分评估病情与患者家属深入沟通后,科室一致决定为胡婆婆进行微创手术。

神经外科介入团队迅速启动绿色通道手术预案,由侯黎明主任医师与汪棋笙副主任医师主刀,在李华国主治医师协助下行了微创颅内动脉瘤支架辅助介入栓塞术。经过数小时手术,成功栓塞了动脉瘤,解除了再次出血风险。



目前,颅内动脉瘤的手术方式有开颅夹闭术介入栓塞术,此两种术式我院神经外科现均能常规开展,并已成功挽救了数百名患者的生命。



图片


胡婆婆的顺利康复,标志着我院神经外科在颅内复杂动脉瘤的救治方面再次上了一个新台阶。未来,科室将继续努力提升医疗技术水平和服务质量,为更多像胡婆婆这样的患者带去生命的希望和健康的福音。



Baidu
map