0830-5269120
0830-5211666
首页 >> 信息公开 >> 医院新闻
【人医学科】与时间赛跑,死神手中抢生命
时间:2024-08-13 浏览次数:1050 来源:合江县人民医院

       李老师,你怎么了?

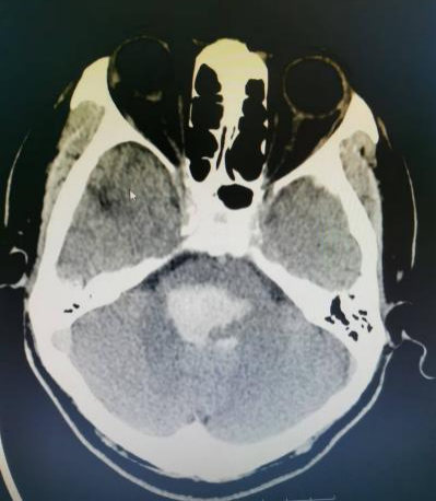
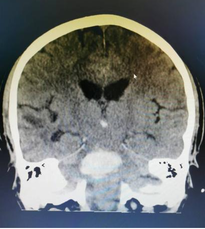
7月下旬的一天,正在开会的李老师突然意识不清伴恶心、呕吐不适,四肢僵直、小便失禁,于是呼叫“120”由我院急诊人员接回,行颅脑CT后提示脑干出血(脑桥出血伴脑内血肿)。

神经外科主治医师唐清明阅片后,诊断患者脑干血肿及呼吸衰竭明确,随时可能呼吸、心跳停止死亡,目前仅脑干血肿清除手术可能有机会挽救患者生命。

脑干出血既往属于神经外科手术禁区,但近年来随着神经外科设备的更新以及技术的飞速发展,我院神经外科团队不懈努力,目前已经熟练掌握此项手术技术。全院各科室争分夺秒,在李老师入院40分钟内其送入手术室,征得家属同意后,唐清明在显微镜下精细手术操作,历经2小时30分钟成功完成手术,术后复查CT提示脑干区血肿清除。术后1周患者恢复自主意识,目前正在康复过程中。

图片

李老师为我院神经外科点赞



下面给大家科普一下脑干出血的诊治。

脑干出血是神经外科出血性脑卒中最危险的急危重症,病死率最高、预后最差,据不完全统计占临床脑出血患者的 5.0%~13.4% ,病死率高达 70%~80%,40~70岁的中老年为脑干出血的好发人群。近年来随着社会发展,人民生活水平提高以后,此病有年轻化的趋势,男性发病率明显高于女性。脑干作为大脑的核心部分,控制着关键的生命中枢,如呼吸、心跳、血压调节、吞咽、睡眠——觉醒周期以及许多基本的反射活动。因此,脑干出血往往伴随着高度的危险性和复杂,给于临床极大的治疗挑战。

图片
图片
图片



症状表现

脑干出血的症状通常突发且严重,可能包括:


头痛:

剧烈且持续的头痛,多数伴有恶心和呕吐。


意识障碍:

从轻微的困倦、嗜睡到严重的昏迷不等。


眼球运动障碍:

眼球无法正常移动,可能出现复视或视力模糊。


呼吸和心跳问题:

延髓呼吸、循环中枢受损,可能出现呼吸急促、不规则或心跳减慢。


肢体无力或瘫痪:

一侧或双侧肢体出现运动障碍,可能伴有感觉异常。


吞咽困难:

脑干中的吞咽中枢受损,导致难以进食或饮水。


语言障碍:

说话不清或完全失语,因为脑干与语言功能有密切联系。

图片




紧急处理与治疗

由于脑干出血的严重性,一旦发生,需要立即进行紧急医疗干预。治疗通常包括:

1.稳定生命体征:通过药物和机械通气维持呼吸和心跳稳定。

2.降低颅内压:使用脱水剂和/或手术减轻脑部水肿和颅内压力。

3.控制血压:确保血压在安全范围内,防止进一步出血。

4.神经外科评估:必要时进行CT或MRI扫描,评估出血量和部位,决定是否需要手术干预。

5.支持性治疗:包括营养支持、预防感染、维持水电解质平衡等。

6.康复治疗:一旦生命体征稳定,开始进行针对神经功能恢复的康复治疗。

7.预防


虽然脑干出血难以完全预防,但以下措施可以降低其风险:


1.控制高血压,保持血压在正常范围内。

2.戒烟限酒,避免药物滥用。

3.均衡饮食,适量运动,保持健康体重。

4.定期进行健康体检,及时发现并治疗潜在的心脑血管疾病。


Baidu
map