0830-5269120
0830-5211666
首页 >> 信息公开 >> 医院新闻
【人医科普】揭秘“人生最后一次骨折”——股骨转子间骨折
时间:2024-09-23 浏览次数:989 来源:合江县人民医院

近日,骨科(创伤中心)负责人韩雪峰在坐门诊时,遇到一名患者家属很着急地跑来咨询,说:“家中老人80多岁了在坝子走路时不小心摔到‘屁趴骨’了,检查说‘转花骨’骨折了,路都走不得,只能在床上躺倒,身都不敢翻,痛得不得了,弄大的年龄了,得不得死人哦?”

韩雪峰立马安慰患者家属,并查看患者的片子,详细询问了患者的情况。后经与家属沟通同意,将患者收治入院,经过治疗,这位老人已经出院。


“转花骨”骨折到底是怎么回事?一起来了解吧!

“转花骨”骨折在临床叫股骨粗隆间骨折,又称“股骨转子间骨折”,指发生于髋关节囊线以外至小转子下方区域内的骨折。

图片图片



一、“转花骨”骨折原因


1.骨折与骨质疏松有关,最常见于老年人。

2.直接暴力或间接暴力均可引起骨折,而最常见的原因是跌倒,髋部直接着地,大部分老年人比较瘦弱,髋部骨头紧邻皮下,无缓冲作用,加上老年人合并骨质疏松,当下肢突然扭转、跌倒、轻微的外力即可以引起该处骨折。股骨转子间骨折保守治疗时间长,需长期卧床,并发症发生率高,伤后第1年死亡率高达23%~34%。因此又被称作“人生最后一次骨折”。


图片图片



二、股骨转子间的临床表现


疼痛、肿胀、瘀斑和髋关节功能障碍,常伴有局部畸形、反常活动。

图片



三、治疗原则

01

保守治疗

主要是卧床制动、下肢牵引,牵引疗法既简单又有效,优点是对患者生理干扰小,保护了患处血液供应,有利于骨折愈合,但是保守治疗长期卧床后易导致多种并发症,如肺部感染、深静脉血栓、压力性损伤、泌尿系统感染、心脑血管意外等,对老年人危险性大,严重者出现多脏器功能衰竭危及生命。

图片

02


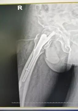
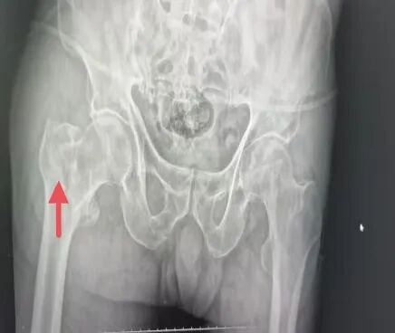
手术治疗:股骨转子间骨折闭合复位髓内钉内固定术。

股骨转子间骨折的手术治疗方法首选内固定手术,适用于大多数老年髋部骨折患者,骨科(创伤中心)熟练开展此类手术,具有创伤小,出血少,手术时间短(手术时间在30-60分钟),曾成功为104岁老人手术!做到了用微创解决骨折问题,术后第二天患者就可以下地做早期康复训练,有效地避免了卧床并发症,大大提高了病人的生活质量。

图片图片



四、股骨转子间骨折如何预防?

1.预防骨质疏松:

转子间骨折大多都是因为骨质疏松以后摔倒造成的骨折,因此老年人预防骨质疏松非常关键。需要注意加强营养、补钙、勤晒太阳、锻炼身体等,必要时进行抗骨质疏松药物治疗。

2.预防跌倒:

对于老年人,尤其是行动不便的老年人,建议使用助行工具,如拐杖、助行器或手杖等,也可穿防滑鞋,防止跌倒。 

3.控制基础疾病:

比如有高血压的患者,控制好血压,避免血压过高引起头晕头痛,也要避免降压药过量或体位性低血压,造成血压过低而出现头晕后摔倒。

4.保持家中环境整洁:

家中的东西一定要收拾干净,桌椅等摆放整齐,避免绊倒。家中要保持地面干燥,避免湿滑,特别是卫生间,可以使用防滑垫。

图片

合江县人民医院骨科(创伤中心)合影


门诊:门诊综合楼二楼211室  四肢创伤中心

住院部:急诊综合楼二楼

联系电话:0830-5238633




Baidu
map