0830-5269120
0830-5211666
首页 >> 信息公开 >> 医院新闻
【人医科普】让您一文了解慢性硬膜下血肿那些事儿
时间:2024-09-29 浏览次数:997 来源:合江县人民医院

慢性硬膜下血肿是神经外科常见病、多发病之一,经常有患者一听得了慢性硬膜下血肿,就紧张得不得了,到处打电话咨询,害怕预后不良,心理负担极重。今天,合江县人医院神经外科主治医师韩晋就以专业的角度向大家讲解此病种,让大家能够进一步了解该病种,卸下自身沉重的心理负担。

硬膜下血肿是指颅内出血的血液积聚在硬脑膜下腔所造成的一种疾病,是颅内出血最常见的一种类型。通常情况下,慢性硬膜下血肿是在伤后三周以上出现症状,血肿位于硬膜与蛛网膜之间,具有包膜。

图片

慢性硬膜下血肿解剖图及CT表现



常见病因:

1. 外伤:外伤是慢性硬膜下血肿最常见的病因。即使是轻微的头部外伤,也可能导致慢性硬膜下血肿的发生。

2. 脑萎缩:老年人由于脑萎缩,脑组织与颅骨间的缝隙增大,使得桥静脉更容易受到牵拉而发生破裂,从而引起慢性硬膜下血肿。

3. 血功能障碍:某些患者由于先天性或后天性的凝血功能障碍,如血友病,使得他们在受到外伤后更容易发生慢性硬膜下血肿。

4. 药物因素:长期服用抗凝剂或抗血小板药物的患者,由于凝血时间延长,受伤后出血的风险增大,从而增加了慢性硬膜下血肿的发生几率。

5. 其他因素:婴幼儿慢性硬膜下血肿多与产伤有关。此外,脑内感染、高血压、高脂血症等也可能成为慢性硬膜下血肿的诱因。



临床表现:


颅内压增高症状:

头痛、恶心、呕吐是最常见的症状。头痛通常是持续性的钝痛或胀痛,严重程度与血肿的大小和位置有关。


精神症状:

包括注意力不集中、意识模糊、情绪不稳定(如焦虑、易怒或抑郁)、嗜睡或失眠。


视力问题:

视力模糊或复视,由于血肿压迫视觉神经导致。


肢体功能障碍:

部分患者可能出现一侧肢体无力或偏瘫,以及肢体协调性差等运动障碍。


局灶症状:

如轻偏瘫、失语、局限性癫痫等。



治疗方案:


保守治疗

适用于偶然发现的、没有临床症状且非常小的硬膜下血肿。

药物治疗

部分患者可采用药物保守治疗。目前阿托伐他汀及止血药物保守治疗可以达到比较好的效果,特别是反复钻孔引流效果不好时可以尝试使用药物治疗。但药物治疗过程中多数患者血肿很难自行吸收且部分会增加。

手术治疗

①钻孔引流术:是最常用的外科手术办法。其中分为常规钻孔外引流术及内镜辅助下钻孔引流术,前者针对血肿液化良好且无明显分隔者,后者针对血肿分隔明显者。

②开颅手术:适用于非常顽固性的硬膜下血肿或者包膜较厚,包膜上有钙化的情况。作为单纯钻孔引流术的补充手术方式。

③介入栓塞手术:研究表明,慢性硬膜下血肿的血供来源常为脑膜中动脉,针对部分顽固的病例,行单侧或双侧脑膜中动脉栓塞,可达到良好的治疗效果。

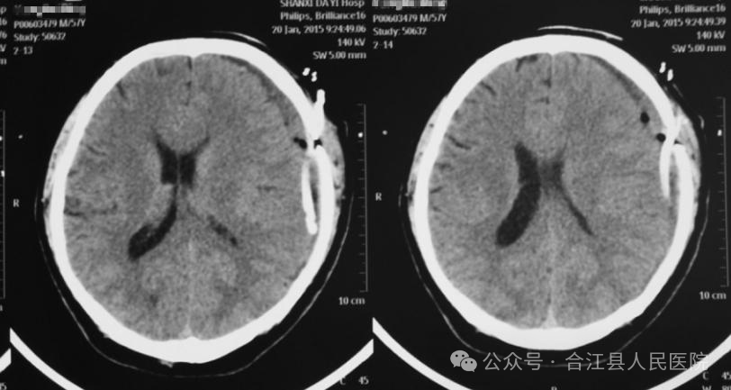
图片

慢性硬膜下血肿钻孔引流术后CT表现



合江县人民医院神经外科经过多年的发展,对慢性硬膜下血肿的诊治积累了丰富的经验,能够常规进行相关手术治疗,病人经正规治疗后,能够重返正常的生活及工作。


       咨询电话:0830—5216264


Baidu
map