0830-5269120
0830-5211666
首页 >> 信息公开 >> 医院新闻
【人医科普】内固定是否要取出?这篇文章告诉你
时间:2024-10-23 浏览次数:1189 来源:合江县人民医院

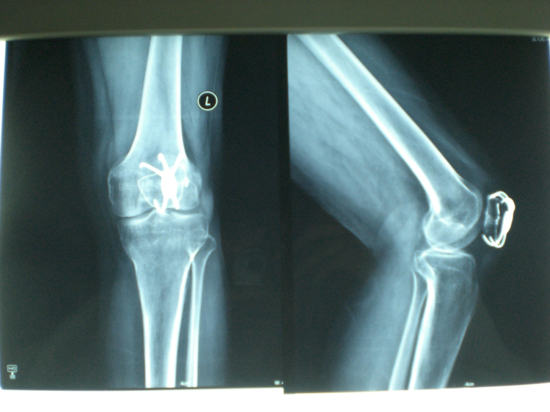
患者宋某,女,48岁,在2023年7月因跌倒致髌骨骨折,在骨科行髌骨骨折内固定术后出院,2024年10月返回我院取出髌骨内固定。在骨折治疗中,内固定是一种常见且重要的手术方法,它通过金属装置将骨折断端固定在一起,以促进骨折的愈合和恢复。然而,随着骨折的愈合和康复,患者常常会面临一个问题:内固定装置是否需要取出?下面,我们就让骨科医生告诉您。

图片


图片


(一)内固定的定义

‌内固定(internal fixation)是医学上的一种手术方法,用于将断裂的骨骼通过金属螺钉、钢板、髓内针、钢丝或骨板等物直接在断骨内或外面进行连接和固定,以保持骨骼的复位和稳定。‌ 这种手术多用于骨折切开复位术及切骨术,特别是在骨折一端有肌肉强烈收缩的情况下。


(二)内固定的作用

内固定在骨折治疗中起着至关重要的作用。它们不仅能够稳定骨折断端,防止移位和畸形愈合,还能减轻患者的疼痛,促进骨折部位的血液循环和营养供应,从而加速骨折的愈合过程。


(三)分类

内固定术可以根据使用的材料手术方式的不同进行分类。常见的分类包括:

1.‌螺钉‌:包括皮质骨螺钉、松质骨螺钉、自攻螺钉、自钻螺钉等。

2.‌钢板‌:包括直钢板、动力加压接骨板(DCP)、锁定钢板等。

3.‌髓内针‌:包括带锁髓内钉、非带锁髓内钉等。

4.‌钢丝和骨板‌:用于连接和固定骨折部位。

图片


(四)骨折愈合后取出内固定材料(如钢板、螺钉等)具有一定的利弊,具体如下:

利:

1. 减少异物刺激:内固定材料对于人体来说属于异物,长期存留可能会引起局部组织的慢性炎症反应和不适感。

2. 降低内固定材料相关并发症风险:如内固定材料的断裂、松动、移位,或金属材料的腐蚀等。

图片

3. 心理因素:部分患者会因为体内存在内固定材料而产生心理负担,取出后可消除顾虑。

图片

弊:

1. 手术风险:任何手术都存在一定的风险,如麻醉风险、出血、感染、神经血管损伤等。

2. 二次创伤:需要再次经历手术,造成新的创伤,术后需要一定时间的恢复。

图片

3. 增加医疗费用:取出内固定需要再次住院、手术,产生额外的医疗费用。

4. 可能影响骨强度:在取出内固定材料后的一段时间内,骨骼局部的强度可能会有所下降,在恢复期间需要注意保护,避免再次受伤。


所以是否取出内固定材料需要综合考虑多方面因素,主要取决于患者的具体情况和骨科医生的建议。如骨折愈合情况、内固定材料的位置和类型、患者的年龄、健康状况、职业需求以及个人意愿等。一般来说,年轻人活动量大、对运动要求高,以及内固定材料引起明显不适或出现并发症时,多倾向于取出;而对于年龄较大、身体状况较差、内固定材料无明显影响且手术风险较高的患者,可以考虑不取出。



Baidu
map