女士们,先生们!大家都来看一看,你的“jio jio”是不是这样的……

如果脚是这样的,那就应该是拇外翻了。
近日,合江县人民医院骨关节外科收治了一名被拇外翻困扰了50多年的患者张阿姨,最近一年,张阿姨的脚出现突起处红肿,疼痛明显,甚至影响了行走,关节外科给她进行了切口不到2厘米的微创手术,术后非常满意地出院了。张阿姨表示:她一直怕治疗效果不好,但又实在很痛,只想做一只脚来看看效果,没想到效果那么好,在做完左脚后立马要求医生做右脚!那么我们就来摆哈拇外翻的龙门阵!
术前
术后
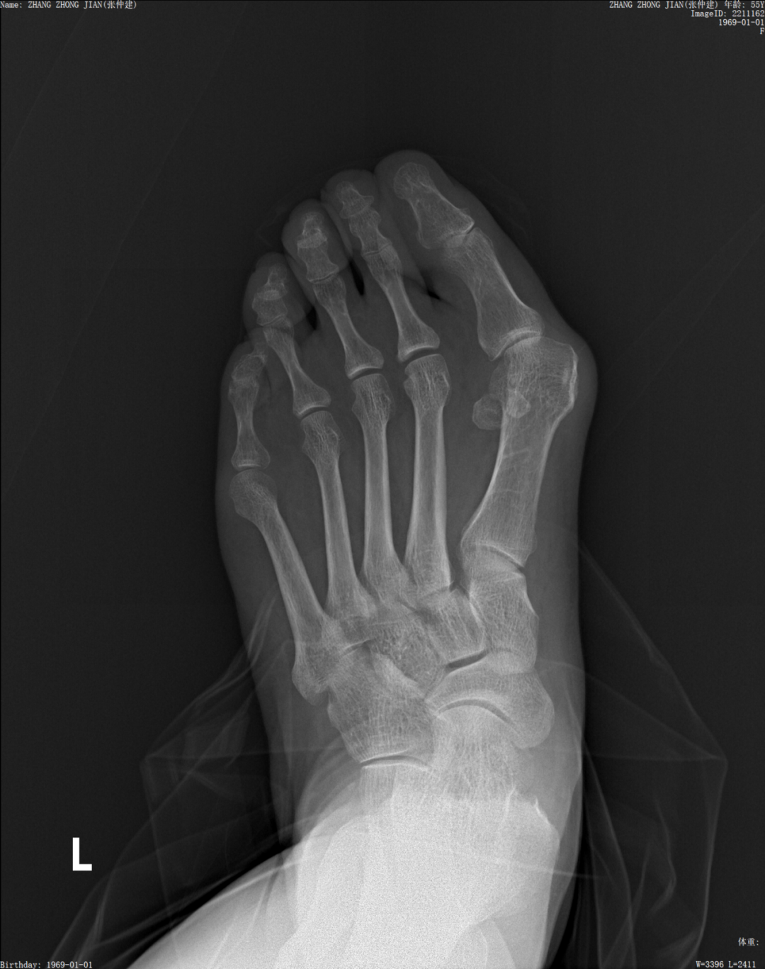
一、啥子是拇外翻?
拇外翻是指足踇趾偏离中心,向外倾斜大于正常生理性角度,俗称“大脚骨”或“大觚拐”。就是脚大拇指朝小指偏斜超过15度以上,是一种足部畸形,严重者突出处出现红肿、热痛、影响走路。程度根据偏斜度数决定,如下图:
二、拇外翻是咋个造成的呢?
1.大约有60%的患者都是遗传的,而且女性比男性多,男女比例达到1:15。
2.穿鞋习惯不好, 从小喜欢穿鞋子尖的、紧的,会影响足部发育,使踇趾朝外移,长期穿鞋跟高的也容易得拇外翻。
3.先天性足部结构异常的,比如扁平足,第一跖骨内翻的。
4.O型腿和X型腿的人也容易发生拇外翻。
三、怎么预防和治疗拇外翻?
1.不让孩子过早穿尖头鞋,美女们高跟鞋的鞋跟不要过高,要选择合脚且鞋头较宽的鞋子。
2.进行踇趾抓毛巾锻炼,锻炼足部内收肌力量。
3.早期可使用硅胶脚趾分趾器。
当拇外翻严重程度到达中度或重度了,根据影响生活的情况,一定要到医院就医,一个2厘米不到的微型切口就能帮助您解决痛苦!
咨询电话:0830-5210130