纵隔肿瘤(mediastinal tumor(s))是临床胸部常见疾病,包括原发性肿瘤和转移性肿瘤。原发性纵隔肿瘤包括位于纵隔内各种组织结构所产生的肿瘤和囊肿,但不包括从食管、气管、支气管和心脏所产生的良、恶性肿瘤。

目前针对于前纵膈肿瘤,采取单孔剑突下入路,该技术较传统胸腔入路,肿瘤清扫更彻底,患者疼痛情况更轻,康复更快,预后更好。
近日,合江县人民医院胸外科团队成功实施了合江县县域首例单孔剑突下入路纵膈肿瘤切除,弥补了合江县该技术的空白。


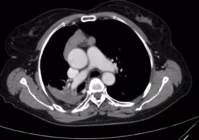
患者为72岁女性,因“体检发现前纵膈占位性病变1周”入院,胸部CT提示前纵膈一大小约10*6*5cm病灶。检查发现患者瘤体较大,有周围脏器血管受侵,且肺功能差,在科室主任李贵宣、副主任赵云统筹下,科室与麻醉科团队密切协作,经过充分术前准备后,李建主治医生在西南医科大学附属医院胸外科徐涛教授(对口支援)的指导下,为患者成功实施了单孔剑突下入路纵膈肿瘤切除术。术后患者恢复良好,切口愈合快,术后第3天拔管办理出院。


单孔剑突下入路纵膈肿瘤切除具有切口小、疼痛轻、术后康复快、肺部感染风险低等显著优势,对于肺功能差、胸腔粘连严重不能耐受经胸手术或经胸手术困难的患者带来了新的希望。
科室简介
合江县人民医院普通外科、心胸外科是以胸外科、胃肠、肛肠、腹壁疝外科、创伤外科、小儿外科等为主的综合性外科临床科室。
科室现有专业技术人员26人,其中副主任医师2人,主治医师8人,副主任护师1人,主管护师3人。科室人员先后到四川大学华西医院、广州医科大学第一附属医院、第三军医大学新桥医院、重庆医科大第一附属医院、西南医科大第一附属医院、大坪医院等医院进修学习。
主要开展业务:
胸外科:主要开展肺部及胸膜疾病:肺癌、肺转移瘤、各种肺部良性肿瘤、支气管扩张症、自发性气胸、脓胸及各种胸膜肿瘤等;食管及贲门疾病:食管癌、贲门癌、各类食管良性肿瘤、食管憩室、贲门失弛缓、食管裂孔疝、食管良恶性狭窄等;纵膈疾病:良恶性胸腺瘤、纵膈畸胎瘤、纤维瘤及纵膈神经源肿瘤及各种纵膈囊肿;胸部外伤:多发性肋骨骨折、胸骨骨折、肺挫裂伤、胸部刀刺伤、血气胸及大血管、心脏损伤等的治疗。其中,胸腔镜微创手术治疗已发展成常态化手术。
腹部外科:目前开展胃肠道疾病、胃肠道肿瘤、腹腔、后腹腔肿瘤、各类疝、肠瘘、肛门及其周围疾病、各种体表肿瘤、肠内外营养等诊疗工作。并率先开展腹腔镜微创诊疗腹外疝、胃肠肿瘤、腹腔肿瘤、后腹腔囊性肿瘤及骶前皮脂腺瘤等,为更好的减轻术后疼痛,促进患者快速康复方面积累了丰富经验。
创伤外科:颈部、胸部、腹部外伤、脏器破裂、外科感染等多发疾病诊治。
门诊诊室:门诊综合楼202室
住院病区:住院综合楼9楼
咨询电话:0830-5213759