在医学影像检查中,CT(计算机断层扫描)和MRI(磁共振成像)是两种常用的检查手段。很多人可能会疑惑,既然已经做了脑部CT,为什么医生还建议再做磁共振呢?这是因为两者在成像原理、优势以及对病变的显示能力上存在显著差异,特别是在脑梗死显示病灶时间、后颅窝病灶的显示以及颅内血管的评估方面,磁共振具有独特的优势。
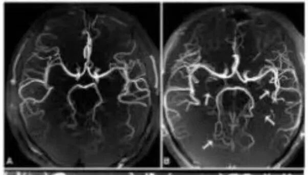
CT与磁共振成像原理及特点 CT检查是利用X线穿透人体后,通过探测器收集数据,再由计算机重建出人体内部结构的图像。它具有成像速度快、密度分辨率高的特点,能够快速发现颅内出血、骨折等病变。然而,CT检查存在一定的局限性,比如对软组织的分辨率较低,且由于颅骨的干扰,后脑病变的显示效果不佳。如果要显示脑血管,需要注射造影剂。 磁共振成像是一种无辐射的检查技术,通过强大的磁场和无线电波脉冲,利用人体内不同组织的磁化反应来成像。它具有多方位、多参数成像的特点,能够提供丰富的组织对比度和详细的解剖信息。磁共振检查在软组织分辨率、图像立体观和抗骨性干扰等方面具有显著优势。 磁共振对后脑病灶显示的优势 后颅窝是脑部的一个重要区域,包括小脑、脑干等重要结构。由于其位置较深,且周围有颅骨的遮挡,CT检查在显示后颅窝病变时往往受到限制。而磁共振检查则能够很好地弥补这一不足。此外,磁共振对软组织的分辨率极高,能够清晰显示小脑、脑干等部位的病变,如脑梗死、肿瘤、脑干病变等。此外磁共振DWI序列能在脑梗死后发生后数分钟就可以发现病灶,而CT需要发病后6-24小时才能发现病灶。尤其是症状表现为头晕,眩晕的患者推荐磁共振检查。 图例: 72岁,男性,突发右侧偏瘫,左侧面瘫,言语含混6小时,CT未见异常,磁共振显示左侧桥脑腹外侧脑梗死。 磁共振评估颅内血管的优势 磁共振血管成像(MRA)是磁共振技术在血管检查中的重要应用。它是一种无创性检查方法,无需注射造影剂,即可获得高分辨率的血管影像。这使得MRA特别适合长期随访的患者以及对造影剂过敏的人群。MRA能够清晰显示颅内动脉的狭窄、闭塞、动脉瘤、动静脉畸形等病变。

为什么做了CT还要做磁共振?
虽然 CT 和磁共振在脑部检查各有各的厉害之处,但它们谁也代替不了谁。CT 检查速度快,要是遇到急性脑出血这种紧急情况,能快速诊断,在急诊的时候,还能作为分科的依据。而磁共振在分辨软组织、查看后颅窝病变、评估颅内血管这些方面,优势特别明显。所以在看病的时候,医生会根据患者的具体病情,还有检查的目的,综合考虑要不要做 CT 和磁共振,这样才能得到更全面、更准确的诊断信息。 总的来说,磁共振成像在查看后颅窝病灶和评估颅内血管方面,优势非常突出,是检查脑部疾病必不可少的重要手段。要是遇到一些复杂的脑部病变,只做 CT 检查可能没办法明确诊断,这时候做磁共振,就能给医生提供更详细、更准确的信息,帮助医生制定出更合理的治疗方案。