胃胀、胃痛、恶心、反酸、呕吐......这些熟悉的不适感是否经常困扰你?俗话说“十人九胃病”,胃肠疾病在人群中极其普遍。但一想到胃肠检查,很多人就被传统胃镜的“插管恐惧”劝退。现在,合江县人民医院新引进胃肠充盈超声新技术,让你轻松告别检查焦虑!
胃肠充盈超声检查新体验:无需麻醉,无需插管,全程无创、无痛、打消患者恐惧心理。
什么是胃肠充盈超声检查?无创无痛才是真贴心!
胃肠充盈超声是一种无创伤、无辐射、可重复的先进检查技术。
• 口服特制助显剂:由薏苡仁、山药等药食同源成分制成,口感像芝麻糊,安全无毒,随代谢排出
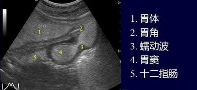
• 超声波精准成像:消除胃内气体干扰,清晰显示胃壁 5 层结构(黏膜层至浆膜层)及病变范围
• 动态观察全程无痛:无需麻醉、不插管,医生通过体外扫描即可实时评估胃蠕动、排空功能

适用人群与适应症
以下情况优先选择胃肠充盈超声:
出现胃痛、反酸、腹胀等消化道症状者
儿童、孕妇、高龄体弱者及心脏病 / 高血压患者(无法耐受胃镜)
需排查肿瘤、溃疡、异物或评估胃动力(如胃食管反流)
健康人群早癌筛查的补充手段


筛查的疾病包括:
器质性病变:胃炎、胃溃疡、胃癌、胃息肉、胃囊肿、间质瘤等。
先天性病变:胃憩室、肥厚型幽门狭窄、异位胰腺、十二指肠闭锁。
功能性异常:胃动力不足、胃食管反流、胃下垂、十二指肠瘀滞等。
术后或放化疗监测:肿瘤患者需频繁复查时,避免辐射影响。
其它:胃结石、胃内异物及胃底静脉曲张、食管裂孔疝等。

胃肠充盈超声 VS 胃镜:一文看懂怎么选
项目 | 胃肠充盈超声 | 胃镜 |
检查方式 | 无创,口服助显剂后体外扫描 | 有创,需插管进入胃腔 |
优势 | 观察胃壁深层结构、周围器官及动态功能 | 直接观察黏膜,可活检或内镜下治疗 |
局限性 | 对黏膜表浅小病变检出率较低 | 无法评估黏膜下层及胃壁外病变 |
适合人群 | 儿童、孕妇、不耐受胃镜者 | 需病理诊断或治疗干预者 |
结论:两者互补!胃肠充盈超声适合初步筛查及功能评估,胃镜用于确诊和活检。

以下情况不建议进行胃肠充盈超声检查:
消化道穿孔、急性胃扩张、活动性大出血。
胃潴留、完全性肠梗阻、频繁呕吐无法服用助显剂。
精神障碍或无法配合指令者。


检查流程全揭秘,轻松三步搞定!
1.检查前准备:
前一日晚餐清淡,禁食8小时、禁水4小时以上;
避免产气食物(如豆类、碳酸饮料)。
2.检查过程:
口服500ml助显剂(儿童减量),静待5分钟消除气泡;
医生通过多体位扫查(站立、仰卧、侧卧等)观察胃部。

3.后续建议:
若发现可疑病灶(如肿瘤),需结合胃镜活检确诊。

临床价值划重点:早筛查,早安心!
1. 早期筛查:48%的早期胃癌无症状,35岁以上人群建议每年筛查。
2. 胃癌高发地区人群、既往有幽门螺旋菌感染、慢性胃炎、胃溃疡、胃息肉、恶性贫血等胃的癌前疾病,建议筛查。
3. 疗效监测:评估药物治疗后胃功能恢复情况。
4. 肿瘤随访:放化疗期间可高频次监测病灶变化,避免CT辐射
胃肠充盈超声以无痛、无创的优势成为胃镜检查的重要补充,尤其适用于特定人群的筛查和功能评估。但其对微小病变的检出存在局限性,需与胃镜结合以提高诊断准确性。若出现胃部不适或高危因素(如幽门螺杆菌感染),建议及时就医,选择合适检查方式。
合江县人民医院胃肠充盈超声,守护你的胃肠健康!
检查地址:新门诊综合大楼 4 楼 A 区
咨询电话:0830-5212515
告别插管恐惧,拥抱无创检查新体验!如有胃部不适或高危因素,及时咨询专业医生,选择适合的检查方式吧~